CASEサイナスリフト

CASE サイナスリフト

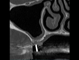
  1. 初診時

    奥歯のブリッジを支えている歯が割れてしまって噛めなくなってしまいました。

    入れ歯は入れたくありません。

    歯がなかった時間が長いので頰の骨がなくなってしまいインプラントをそのまま入れることが出来ません。

  2. サイナリフトという技術を用いて、骨を増やしインプラント治療ができるようにします。

  3. 顎の骨が増えた所に10mmのインプラントを埋めることが出来て、しっかり噛めるようになりました。

矯正治療及びインプラントの
リスクと副作用について

治療においては以下のようなリスク、副作用がありますが、十分な診断と説明のもと、行います。適切な処置やケアがあれば、軽減することが可能ですので、違和感などあれば遠慮なくお尋ねください。

矯正治療

  1. 矯正装置の力が強い場合、歯や口に痛みを引き起こすことがあります。また、装置の調整時にも痛みを感じることがあります。

  2. 矯正治療中には、歯肉、歯の根、口蓋、頬、舌などの口内組織が損傷する可能性があります。

  3. 矯正装置を外した後、歯の表面に変色が残る場合があります。

  4. 矯正治療中には、口内の感染症が発生することがあります。

  5. 矯正装置が破損する場合があります。破損した場合、治療効果が減少したり、治療期間が延びたりする可能性があります。

インプラント

  1. インプラント手術後、軽い痛みや腫れが数日間続く場合があります。

  2. インプラント手術後に感染症が発生することがあります。

  3. インプラント手術中に周囲の組織(神経、血管、骨など)が損傷する可能性があります。

  4. 手術後、インプラントが十分に骨に結合しない場合があります。

  5. インプラントが天然歯と異なる場合があり、審美的な問題が生じることがあります。

CONTACT お問い合わせ

03-5305-8878

診療時間 平日 / 9:30~13:00 14:30~18:30
土曜日は17:00まで 休診日 木曜・日曜・祝日

初診の方のお問い合わせフォーム

初診の方のお問い合わせフォーム タップでお電話できます